如果牙齿就该是淡黄色,难道我们天生牙白的才不健康?
- 2021-12-14 14:00:48 腾讯健康
- 健康
嫌弃过你男/女朋友的牙,不够白过没?
没想到这个小问题还挺敏感,
提一嘴,没准对象‘啪’~就没了
评论里0美白方法的大型劝分现场:
换个男朋友不就好了。
相亲对象更是没资格提:
hello,我们很熟吗?
被客户提出牙黄的问题,
怎么办呢?像换对象一样,换个工作?
一、牙黄怎么了?
我们牙齿就是淡淡米黄色
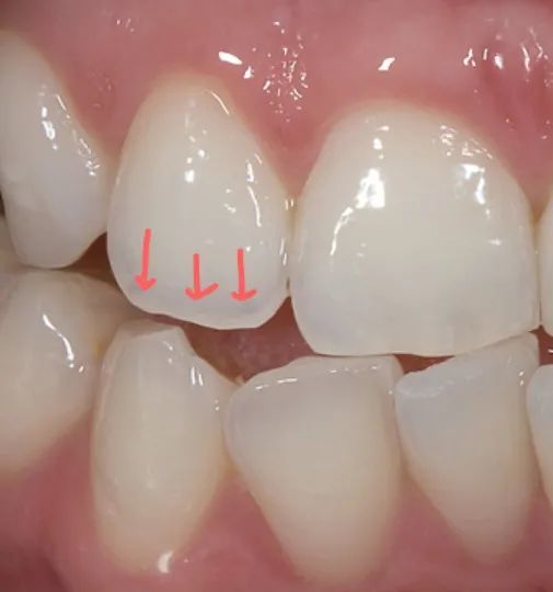
牙本质是黄色的,参考下图
对应着再看一下
这个最外层牙釉质的颜色由矿化程度决定,矿化程度越高,颜色就越透明,里边那层牙本质的颜色就透出来的越多,牙齿的颜色也就越黄。
矿化程度低的就没那么透明,牙本质的颜色就难透出来,牙齿的颜色也就显得白。
看这颗牙,红箭头指的部分,是不是有种半透明的感觉?再加上有人是牙釉质比较薄的类型,那看上去会更透
再放大一张
越透明的更坚硬,矿化程度低的牙白也意味着牙齿质地较软。
比如我们小朋友的乳牙和恒牙比起来就白一些,因为矿化程度比恒牙低(这会儿的门牙牙缝不用担心)
因此我们的牙齿透着淡淡米黄色是正常的。
有这种小白点的,是发育过程中出现问题,这种氟斑牙常常一颗牙上矿化的程度不一致,看上去颜色不均匀(比较轻的可以试试美白、严重的可以贴面修复)
二、黄点儿没啥,如果已经是黄到造成困扰不敢开口了
黄到影响正常生活了,找到适合自己的方式改变就好啦。
决定自己需不需要大动作美白牙齿前得先知道自己的牙齿颜色。
1、可以先洗个牙,让牙齿本来的颜色露出来。
有时候外源性因素,会让透着淡淡黄色的牙变成脏黄色,比如我们爱喝咖啡、爱抽烟这些(红酒、浓茶、酱油、可乐),再加上清洁不到位,牙齿上会附着上菌斑色素,牙齿就看上去不够白了。
这种牙黄很简单,去洗个牙就好了,平常再配合着使用牙线+刷牙,就可以有效去除牙齿表面色素。
2、让人心动又有顾虑的牙齿漂白
这种漂白技术,会渗透牙釉质,到达牙本质。
想要白的均匀,又不想伤害到我们的牙龈和牙齿,有一定技术难度,最好在正规机构进行操作,要么也得是在专业人员指导下进行漂白。
比较常见的冷光美白
美白效果也看你原来牙的颜色啥样
死髓牙漂白
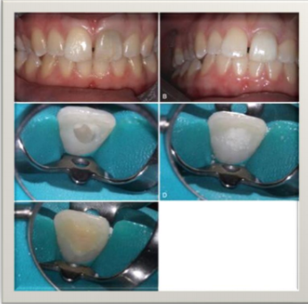
3、需要牺牲一部分牙釉质的美白方式
每种美白方式都有自己的劣势,比如洗牙,洗掉染色部分,可能比之前白,但也就是显示出你本来的颜色而已。
比如牙齿漂白技术,几十分钟就能收获小白牙,有效期在6个月到2年左右,改善程度有限,效果因人而异。
贴面倒是效果好,维持得久,但需要磨去少量牙釉质并且技术要求高,价格也更贵。
总之对于我们的牙齿颜色,透着淡淡的黄就很健康,如果不满意目前的颜色,也可以考虑用化学漂白或贴面等方式尝试给牙齿提升几个色阶。
本文地址:http://www.bx9y.com/jiankang/2021-12-14/562001.html
友情提示:文章内容为作者个人观点,不代表本站立场且不构成任何建议,本站拥有对此声明的最终解释权。如果读者发现稿件侵权、失实、错误等问题,可联系我们处理
- 上一篇:湖南省第二人民医院微创外科“手术直播月”拉开帷幕
- 下一篇:补硒,能防癌么?
- 北京经开区将制定鼓励三胎生产细则,试点孕产妇生育全过程免费2021-12-14 14:00:49
- 着装不规范对群众态度简单粗暴,重庆一派出所副所长被停职2021-12-14 14:00:49
- 冬春注意多病共防,上海卫健专家划重点:不扎堆、少聚集、戴口罩、打疫苗2021-12-14 14:00:49
- 辟谣:关于高血压的4大谣言,很多人都深信不疑,你信了几个?2021-12-14 14:00:49
- 内地首次检出奥密克戎毒株,浙江本轮确诊近 200 例2021-12-14 14:00:49
-
什么是阴痛?
2021-10-26
-
美立方国内外专家齐聚 颌面专家团再升级
2021-08-23
-
《热点聚焦》医疗机构内新冠病毒感染防控有了新要求
2021-09-15 20:00:10
-
浙大一院2021年中秋节、国庆节放假及工作安排
2021-09-12 14:00:03
-
什么是阴结?
2021-10-26 10:33:42
-
名医风采 美立方颌面国际专家团,轮廓改造天团
2021-08-23 11:48:32
-
12333异地就医备案 您关心的都在这里
2021-09-07 10:40:49
