青春期女孩月经失调视力减退,罪魁祸首竟在脑子里……
- 2021-12-13 16:00:46 腾讯健康
- 健康
垂体前面观(张晓泉 绘)
///
青春期女孩“月经失调”2年多时间,还出现视力减退、头晕、恶心,甚至无缘无故晕倒,这一切都缘于她脑袋里长了一个肿瘤。日前,湖南省人民医院神经外科专家为她成功手术切除这个“不定时炸弹”。
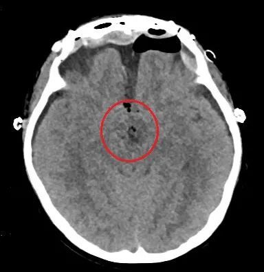
术前头部CT和磁共振检查显示:鞍区肿瘤(红圈内)比乒乓球还大,压迫周围重要的神经和血管。
19岁的小雯(化名)是湖南汨罗人,大约2年前开始出现月经周期延长的情况,两三个月才来一次例假;近一年,“大姨妈”干脆不来了,到医院被诊断为“月经失调”。吃了医生开的药以后,来了例假;可只要停药,“大姨妈”又不来了。一个月前,小雯的视力变差,看手机模模糊糊,还出现头晕、头痛、恶心、呕吐、浑身乏力甚至晕倒的情况。在当地医院做头部CT发现,脑袋里长了个肿瘤!
垂体柄下面观(张晓泉 绘)
2021年11月8日,小雯在家人的陪同下来到湖南省人民医院天心阁院区就诊。神经外科黄萌异主任医师查看CT片后,初步诊断为“颅咽管瘤”,将她收入神经外一科病房。
入院后进一步检查发现,肿瘤约为4.5×4.4×4.6cm,比乒乓球还大,周围遍布颈内动脉、视神经、三脑室底、海绵窦、垂体、垂体柄等重要的神经和血管。
医生告诉小雯和家属,由于肿瘤压迫视神经,因此导致她视力减退;还压迫垂体,导致其内分泌紊乱、月经失调,并形成颅高压。如不尽快手术,病情继续进展可能危及生命。
黄萌异主任医师、陈磊副主任医师等为患者施行显微镜下经终板池入路颅咽管瘤切除手术。
手术组进行术前讨论认为:因肿瘤被视神经、颈内动脉、动眼神经、垂体等包裹,一旦术中损伤这些重要的神经和血管,可能导致不可逆的后遗症。黄萌异主任医师和陈磊副主任医师等通过三维重建和手术演练,对术中可能遇到的困难进行预估,并制定相应的对策。
11月22日,黄萌异主任医师、陈磊副主任医师等在全麻下为小雯施行显微镜下经终板池入路颅咽管瘤切除术,成功拔除这个“不定时炸弹”。术后第四天,小雯就能正常进食,术后第六天转回普通病房,并于12月13日康复出院。
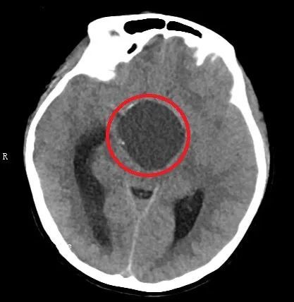
术后头部CT显示:鞍区肿瘤基本切除干净。(红圈内为手术区域)
“颅咽管瘤是位于鞍区或鞍旁区生长缓慢的中枢神经系统良性肿瘤”,黄萌异主任医师表示,颅咽管瘤是儿童、青少年常见的非胶质细胞瘤,高发年龄段为5~15岁,占该年龄段颅内肿瘤的54%。因该病早期症状不明显,往往发展至颅高压时,才会考虑头部原因进而排查,此时往往已出现不可逆的损伤。
对此黄萌异提醒,儿童在生长发育过程中如果出现反复头痛、身材矮小、多饮多尿、肥胖、生殖器发育迟缓等垂体功能减退的表现,应进行系统检查,以尽早发现或排除颅咽管瘤,做到早发现、早诊断、早治疗。
出院前,小雯和家人为省医神经外科团队点赞。
文图:梁辉 张晓泉
编辑:梁辉
审核:周瑾容
本文地址:http://www.bx9y.com/jiankang/2021-12-13/561815.html
友情提示:文章内容为作者个人观点,不代表本站立场且不构成任何建议,本站拥有对此声明的最终解释权。如果读者发现稿件侵权、失实、错误等问题,可联系我们处理
- 上一篇:如果抑郁来了,先自救
- 下一篇:星巴克被曝使用过期食材!涉事门店被火速关闭
- 冬日好吃懒动?常吃萝卜可缓解,但要注意这几点!2021-12-13 16:00:46
- 边看边聊|我不放心2021-12-13 16:00:46
- 第四届国医大师及第二届全国名中医推荐人选最全名单!福建专家有2021-12-13 16:00:46
- 鼻塞、便秘、胀气…13个小毛病医生教你缓解!2021-12-13 16:00:46
- 从体重看长寿!这个范围内,堪称长寿体质!说实话,没多少人!2021-12-13 16:00:46
-
什么是阴痛?
2021-10-26
-
美立方国内外专家齐聚 颌面专家团再升级
2021-08-23
-
《热点聚焦》医疗机构内新冠病毒感染防控有了新要求
2021-09-15 20:00:10
-
浙大一院2021年中秋节、国庆节放假及工作安排
2021-09-12 14:00:03
-
什么是阴结?
2021-10-26 10:33:42
-
名医风采 美立方颌面国际专家团,轮廓改造天团
2021-08-23 11:48:32
-
12333异地就医备案 您关心的都在这里
2021-09-07 10:40:49
