中老年肺癌都是“悄无声息”?医生提醒:身体5种变化,该小心了
- 2021-12-11 16:00:49 腾讯健康
- 健康
中老年人是肺癌的高发人群,在癌症到来之前身体一点症状都没有吗?难不成只能等待?
最近,听到一位癌症患者的故事,大叔现在已经快60岁了,一直都感觉身体挺健康的,也没生过病,几乎没去过医院。
哪怕是头痛脑热,在家吃点儿小药,很快也会好转,但是疫情期间在家的时候,总感觉自己慢慢变瘦了。
这也挺能理解,毕竟平时不出门,吃得也没原来多,而且睡眠也没有原来好。
可是这种体重减轻并没有慢慢好转,从150斤左右慢慢变瘦,逐渐降到了130斤左右,这三个月左右,大约20斤的肉,凭空消失了。
可是变瘦并不是好事,他突然感觉到胸痛明显,而且有了咳嗽和发热的症状。
难道这是肺炎?
毕竟我国目前的科普很全面,大家已经对新型冠状病毒之后的症状有所了解,咳嗽和发热,这难道是不幸感染了?
赶紧去医院做核酸检查,看看自己是不是中招了。
核酸结果出得很快,刚去医院排队做检查,两三个小时就出结果了。
结果仍然很欣慰,核酸结果是阴性,也就是说跟新冠关系并不大。
那为什么还会咳嗽呢?特别是在晚上还有低烧,有的时候体温能达到37.8℃,这种低热不是特别难受,但是总发烧也不是好事儿。
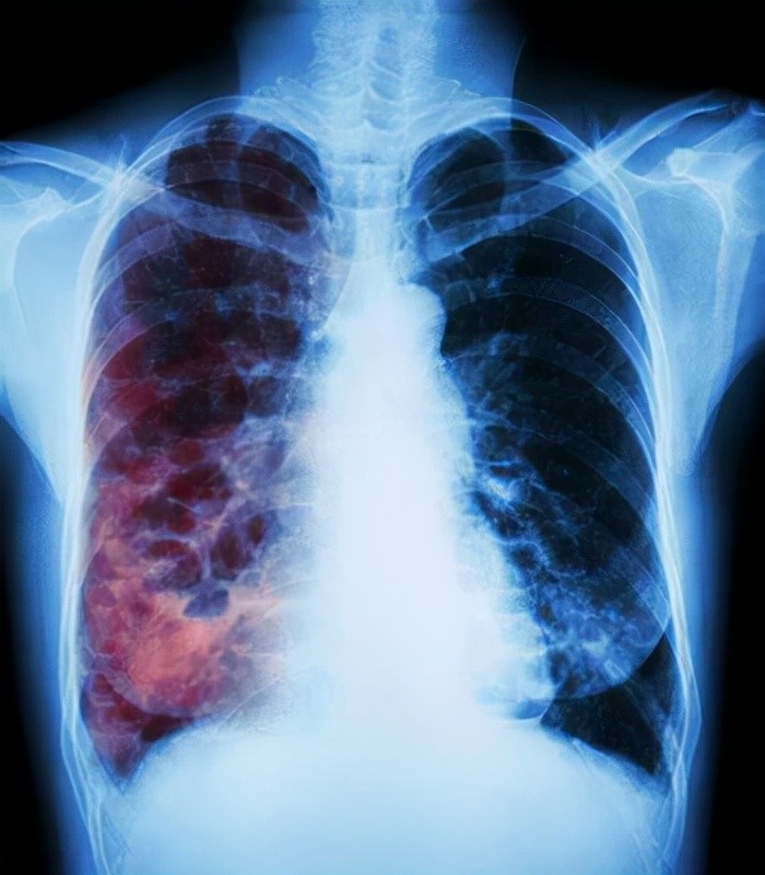
大叔感觉不对劲,于是去了呼吸科门诊,在医生的建议下还是决定先做肺CT检查,看看有没有肺炎。
CT检查也很快,排队的人不多,做完之后稍等一会儿结果就出来了。
这哪是肺炎呀?
报告单上写得很保守,说是右肺上叶有“占位”。
可是大叔平常也有一些医学常识,这占位可并不一定是好东西,于是赶紧找到医生联系住院,在进一步检查之后发现,这个“占位”可不一般,其实是肺癌。
“这肺癌来得太突然了,一点症状也没有!”,大叔心里很焦虑,感觉自己平时挺健康的,怎么突然就肺癌了呢?
肺癌的时候,不是应该有“咳血”吗?电视里也是这么演的。
可事实并不是电视里的那样,确实,咯血可能是肺癌,但是也有很多肺癌患者并不科学,最先发生的症状可能是咳嗽,胸痛,或者睡眠障碍。而这位患者所发生的消瘦和低热,其实也是肺癌发生时的全身症状。
那么在肺癌发生的时候,身体会有哪些症状会提醒我们呢?
一、什么是肺癌?
在讨论早期症状之前,我们先了解一下肺癌。
肺癌就是肺部的癌症,可是肺癌有多可怕呢,很多人又不甚了解。
看我国,肺癌的发病率和死亡率都很高,有数据显示,最近很多年来,我国的人口老龄化逐渐严重,而且大气污染以及吸烟的影响因素也很大,所以我国肺癌的发病率和死亡率都很高,甚至有逐年递增的情况,在国际上我们也是肺癌患者最多的国家。
曾有专家预测过,在2025年我国的肺癌患者数量,甚至可以达到100万人。
不过与之前相比最值得欣慰的事情还是肺癌的治疗,由于科学技术的进步,在我国肺癌的5年生存率,已经从4%上升到12%了。
但是显然从速度上也能看到仍然有88%的患者无法挺过5年,在这段时间内就已经失去生命了。
虽然现有的很多抗肿瘤药物可以缓解病情,但是对于中晚期肺癌的效果仍然不好,我们还是没有办法全方面地战胜肺癌。
但是如果早期发现肺癌还是很有治疗期望的,在I期肺癌患者中,如果能够进行手术治疗,那么5年的生存率可以高达60%~70%。
如何才能增加肺癌的生存率以及降低死亡率呢?答案已经很简单了,就是在早期发现肺癌。
早发现,早诊断早治疗,这才是治疗肺癌的王道,比找寻一些药物,和寻找灵丹妙药更加务实。
话说回来,如何早期发现肺癌呢?其实在早期肺癌也有一些症状,我们应该在生活中更加小心。
二、早期肺癌的5种症状。
早期肺炎一点症状都没有吗?这并不一定也有一些症状,可以在早期发现。
1.咳嗽。
在电视上经常看到这种情况,有人咳嗽,去医院检查就发现是肺癌成员,这个确实是肺癌的早期症状之一。
但是这种咳嗽非常有特点,普通的感冒咳嗽咳两下之后把痰咳出来,肺部和呼吸道感觉好多了,可是肺癌的咳嗽会不一样,他最大的特点就是阵发性和刺激性的干咳。
请注意这里的用词:阵发性,以及刺激性干咳。
如果咳嗽是一阵一阵的,而且总感觉嗓子里咳不干净,咳了半天却没有痰,甚至有一些人用抗生素或者止咳药物之后效果还并不好,甚至逐渐加重了,这时候一定要小心,其实这很可能是肺癌的早期信号。
2.咯血。
如果发现痰中带血,哪怕是小血丝甚至是血凝块,这个时候都要小心,有可能是肺癌了,特别是40岁以上的吸烟患者,如果出现这类症状,肺癌的可能性非常大。
这种表现在临床中也称为咯血,但是一定要区分,同样是从嘴里吐出来的血,一定要明确地判断是从胃里呕出来的,还是从呼吸道中“咯”出来的。
3.胸部疼痛。
有的时候胸痛很严重,可能是心绞痛或者心肌梗死,但是如果不是心脏的疾病也不要太高兴,胸痛也有可能是肺癌的早期表现,这种胸痛很有可能是不定时的,有的时候能持续几分钟甚至是几小时。
4.发热。
这里就要提到发热了,特别是45岁以上的男性烟民,长期的肺炎发热,如果使用抗生素之后治疗效果仍然不好,不要觉得自己挺一挺就过去了,要小心,这是肺癌的可能性。
5.变瘦。
年龄大了之后,很多人啤酒肚子会上来,而且会保持这种肥胖的体态很长时间,可是如果在一段时间内体重下降了,一定是好事吗?
并不会。
要知道,一个人的体重,如果不是长期坚持运动锻炼,以及保持饮食,是不会有太大波动的,在短期内如果体重减轻5%就要小心了,我很快下降了10%,那么别犹豫赶紧去医院检查一下,很可能是身体中发生了癌变,这些癌细胞正在迅速消耗自己身体中的能量。
三、肺癌该如何筛查?
虽然我们知道肺癌的一些症状,但是很多人有了疑问,我们应该在有症状的时候去医院筛查,还是在没有症状的时候就天天往医院跑呢?
在我国,很多肺癌患者,在确诊的时候就已经是中晚期肺癌了,在这个时候很多患者甚至已经来不及手术,失去了手术的机会。
这也是我国患者发生肺癌之后,生存率变小的主要原因。
所以很多专家和学者一致建议,早期筛查可以帮助患者最大地延长生存几率,甚至有论文表明,肺癌从细胞恶性转化,到变为胃癌,甚至是转移,乃至死亡,这一病程是很缓慢的,可能需要20年,甚至是30年的时间,所以如果能在早期筛查,那么死亡率的降低是很有可能实现的。
如果真的等到有症状再去检查,那么就已经晚了,甚至很多人并不觉得自己症状较重,这也会耽误最佳的治疗时机。
可是我们该怎么筛查呢?其实早期肺癌的筛查方法有很多,比如痰细胞学检查,痰液基细胞学,肿瘤标志物,以及我们所熟知的CT等影像学检查手段。
可是我们的筛查手段应该怎么选择呢?
一定要围绕着一个核心的目标:用最简单的方法达到最好的筛查结果。
废话就不多说了,结论就是:低剂量CT,其实是目前最有应用前景的肺癌筛查手段。
肺部的CT可以想象成扫描多个胸片,而且在完全去除周围组织结构的干扰后,分辨率非常高,所以能够检查出很多不容易发现的小病灶,也能很有效地显示出低密度小病灶。
曾有学者表明,CT可以发现所有直径在8毫米以上的肺癌结节,而且对早期肺癌的检出率比胸片检查至少要提高6倍。
在日本有学者表明,对于吸烟的高危人群来说,进行CT筛查能够使肺腺癌的死亡风险降低50%,而且肺鳞癌的死亡风险也会随之降低25%。
美国的肺癌筛查指南中也明确表明,推荐在高危人群中,使用低剂量螺旋CT进行辅助检查,帮助早期肺癌的筛查。
四、肺结节该怎么办?
有很多人进行检查之后发现肺部有结节,可是这些结节该怎么办呢?是不是都是肺癌呢?
这可不一定,具体要看所在的部位,还有结节的大小密度以及形状。
如果之前的肺部有结节,应该与之前的结果相比较,看看这种结节有没有变大。
特别是对高危人群,肺部结节的意义是很大的,应该定期随访,千万别忽视。
根据肺结节的大小,我们应该分情况讨论。
1.肺结节小于4毫米:每年做一次低剂量肺部CT。
2.肺结节小于6毫米:12个月内重新评估一次,如果没变化,那么每年再做一次。
3.肺结节小于8毫米:6~12个月内随访一次,如果没变化,那么18~24个月再随访一次,之后可以每年随访一次。
4.肺结节超过8毫米:这就要更加小心了,如果情况允许,建议三个月,6个月,12个月以及24个月都随访一次,在此之后,每年随访一次就够了。
总结。
肺癌的发病率是很高的,在2018年就有数据显示,肺癌的发病率是11.6%,肺癌可称为世界上最常见的癌症之一。
我们该如何应对肺癌呢?其实在肺癌的发生前已经有了很多症状,希望大家更加关注自己的健康问题,不要等肺癌已经发展到中晚期才开始接受治疗,这个时候就已经很难恢复到患癌之前的状态了。
如何有效地治疗肺癌,最重要的就是早发现早治疗,那么我们就应该重视肺癌的筛查,在平时多注意症状,每年都可以考虑进行一次肺部低剂量CT,看看自己的肺部有没有什么毛病。
特别是50岁以上人群,如果有吸烟的嗜好,那一定就要小心了,别把自己的肺不当回事儿。
参考文献
[1]金发光.我国肺癌早期筛查现状分析[J].医学与哲学(B),2017,38(01):14-18.
[2]李慧超,刘硕,杨雷,张希,张倩,王宁,季加孚.北京市居民癌症防治核心知识知晓率现状及影响因素分析[J].中华预防医学杂志,2021,55(06):737-741.
本文地址:http://www.bx9y.com/jiankang/2021-12-11/561455.html
友情提示:文章内容为作者个人观点,不代表本站立场且不构成任何建议,本站拥有对此声明的最终解释权。如果读者发现稿件侵权、失实、错误等问题,可联系我们处理
- 专访|自然保护区巡护员老龄化,“高危工作”无人接棒?2021-12-11 16:00:50
- “双通道”落地,南京完成首例院外购药2021-12-11 16:00:50
- 骗保、违规!国家医保局曝光9起典型案件,涉及这几家医院2021-12-11 16:00:50
- 甘肃严查民生领域违法行为 农村销售山寨酒水饮料将被查2021-12-11 16:00:50
- “浙大好医生”援青记:“这些都不是表演,而是一种自愿习惯”2021-12-11 16:00:50
-
什么是阴痛?
2021-10-26
-
美立方国内外专家齐聚 颌面专家团再升级
2021-08-23
-
《热点聚焦》医疗机构内新冠病毒感染防控有了新要求
2021-09-15 20:00:10
-
浙大一院2021年中秋节、国庆节放假及工作安排
2021-09-12 14:00:03
-
什么是阴结?
2021-10-26 10:33:42
-
名医风采 美立方颌面国际专家团,轮廓改造天团
2021-08-23 11:48:32
-
12333异地就医备案 您关心的都在这里
2021-09-07 10:40:49
