Leigh综合征,你了解吗?
- 2021-12-10 20:00:52 腾讯健康
- 健康
导读
Leigh综合征,1951年由英国神经病理学家Archibald Denis Leigh首次描述。又称亚急性坏死性脑脊髓病(subacute necrotizing encephalopathy,SNEM),是一种进行性神经变性的线粒体疾病,通常在儿童时期死亡。Leigh综合征为丙酮酸脱氢酶复合物(PDHC)和细胞色素C氧化酶(COX)遗传缺陷,是婴儿和儿童时期最常见的一种线粒体脑肌病。
作者:云中跑步
来源:“粉色的小药丸”公众号
流行病学
Leigh 综合征发病率约为1/40000,多在10 岁以前发病,以婴幼儿多见,偶见成人发病,无性别及种族倾向。
临床表现
Leigh 综合征通常发生在2岁以前,常见的表现有腹泻、呕吐、发育迟滞、肌张力低,通常在几年内死亡。少年型和成年型少见。临床表现包括:
精神运动迟缓/退化
共济失调
肌张力障碍
眼肌麻痹
癫痫
乳酸酸中毒
呼吸节律紊乱
基底神经节和脑干功能障碍
病理
Leigh 综合征是由于核DNA (nDNA)和线粒体DNA (mtDNA)基因突变所致。核DNA突变常见(~75%),并以孟德尔方式遗传,可通过常染色体隐性遗传和X连锁遗传。线粒体DNA突变少见 (25%),通过母亲遗传。
慢性能量衰竭会导致:海绵状变性/毛细血管增生/脱髓鞘/神经元损失/神经胶质增生。
标记物:CSF 乳酸升高。
影像特征
MRI
因遗传特征不同MRI通常呈异质性。一般来说,病灶分布对称。可分为三型: 基底节型、脑干型及白质型。
T2/FLAIR高信号,累及基底节中以壳核最多见,累及丘脑中以背侧丘脑内侧近第三脑室最多见。文献报道,双侧对称的壳核受累是必备的特征,尾状核、苍白球及丘脑可同时受累,但绝不会在壳核不受累的情况下单独出现。脑白质、皮层及小脑受累少见,病变范围较广可累及胼胝体和内囊。
T1常表现为低信号,但可见部分高信号,有一定强化。
DWI 的信号变化在时间分布上呈多样性,急性期DWI 病变可见弥散受限。
MRS:急性期可出现Lac峰增高(无特异性,缺血,感染,炎症及肿瘤也可引起乳酸增高),Cho峰升高和NAA峰减低。
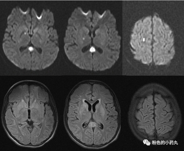
图 病例1
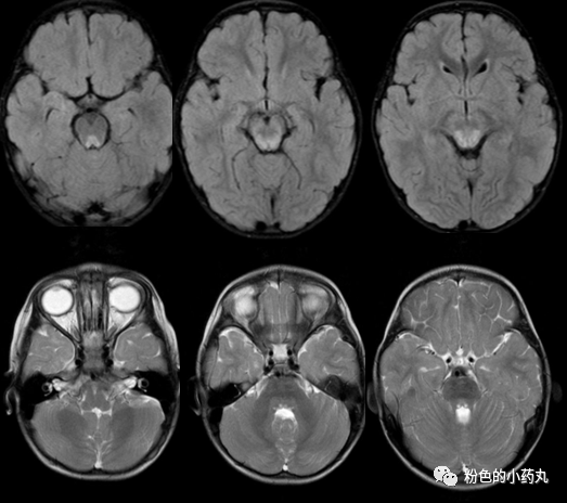
图 病例2
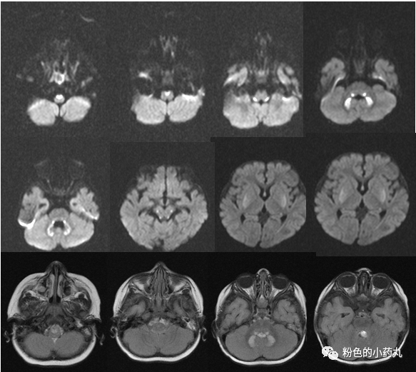
图 病例3
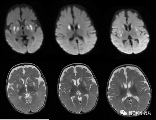
图 病例4
与预后不良相关的因素有
6个月前发病
入住重症监护室
脑干病变
MRS可见乳酸峰
鉴别诊断
Wernicke 脑病:Wernicke 脑病通常会累及乳头体,Leigh 综合征通常累及基底神经节、视神经、脑桥、延髓和脊髓。
Wilson病
本文地址:http://www.bx9y.com/jiankang/2021-12-10/561296.html
友情提示:文章内容为作者个人观点,不代表本站立场且不构成任何建议,本站拥有对此声明的最终解释权。如果读者发现稿件侵权、失实、错误等问题,可联系我们处理
- 漯河市二院举办放疗科病区开科仪式 2021-12-10 20:01:06
- 漯河市老年友善医疗机构建设工作系列报道之十一 2021-12-10 20:01:06
- 清丰质控“两癌”筛查项目获省、市专家组肯定 2021-12-10 20:01:06
- 河南省卫生健康委召开机关第二次党员代表大会 2021-12-10 20:01:06
- 河南全面推进“西学中” 2021-12-10 20:01:06
-
什么是阴痛?
2021-10-26
-
美立方国内外专家齐聚 颌面专家团再升级
2021-08-23
-
《热点聚焦》医疗机构内新冠病毒感染防控有了新要求
2021-09-15 20:00:10
-
浙大一院2021年中秋节、国庆节放假及工作安排
2021-09-12 14:00:03
-
什么是阴结?
2021-10-26 10:33:42
-
名医风采 美立方颌面国际专家团,轮廓改造天团
2021-08-23 11:48:32
-
12333异地就医备案 您关心的都在这里
2021-09-07 10:40:49
